跳至内容
院内案例
首页
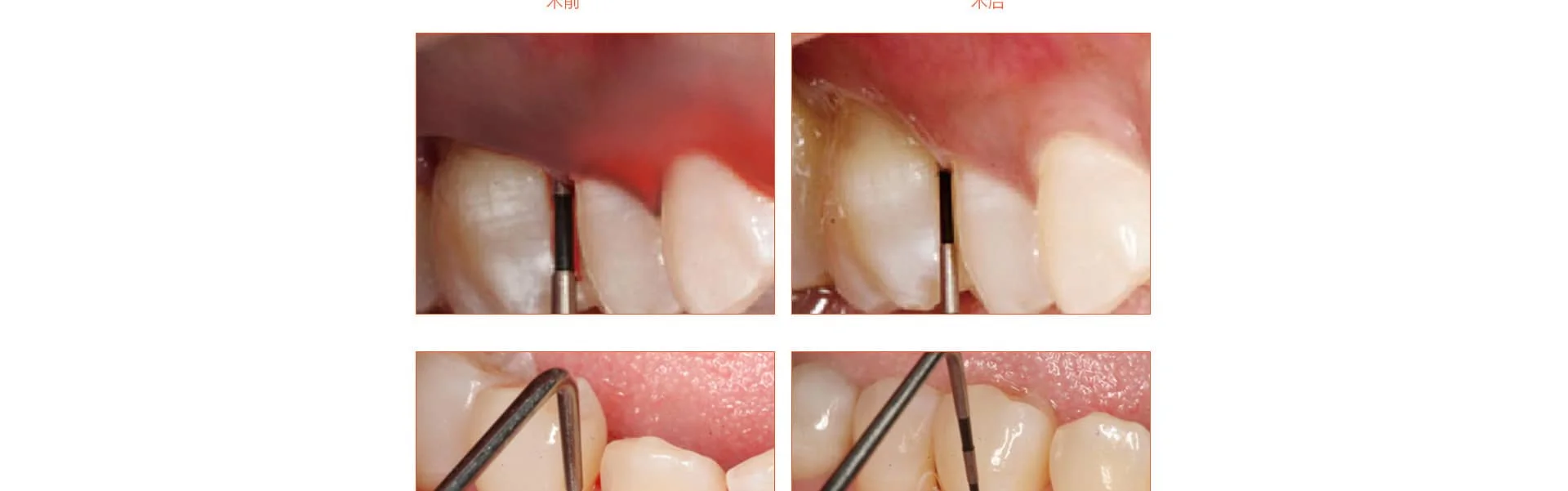
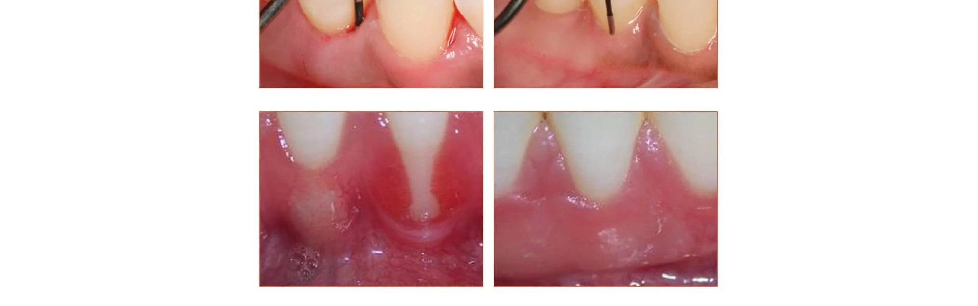
牙周诊疗详细介绍