跳至内容
院内案例
首页
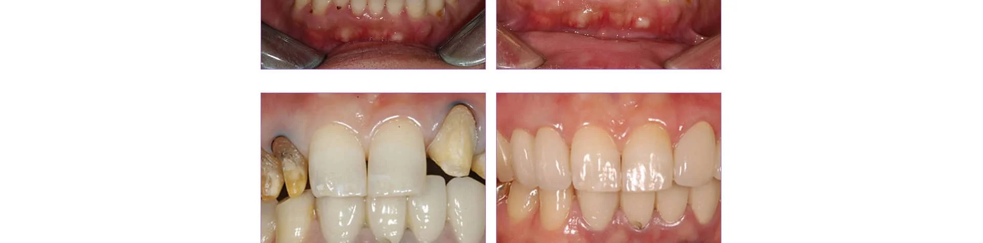
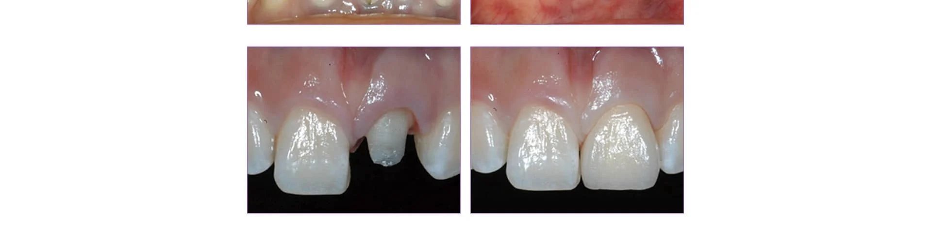
美学修复详细介绍