跳至内容
院内案例
首页
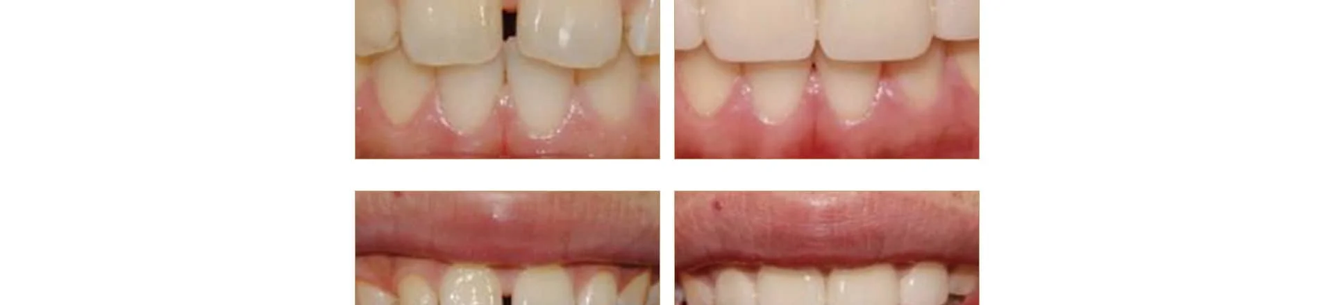
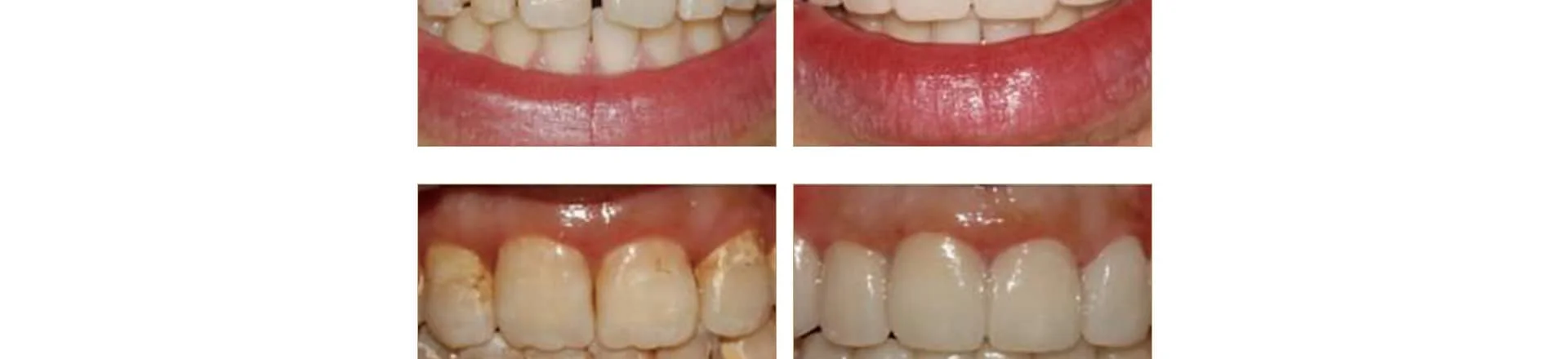
超薄贴面详细介绍